ޚާއްޞަ އެހީއަށް ބޭނުންވާ މީހުންނަށް އޯގާތެރިކަމާއި އިޙްސާންތެރިކަން މުހިންމު: ރައީސް
21 މާރިޗު 2026 - 07:37

ކީރިތި ޤުރުއާނާއި މާތް ނަބިއްޔާ صلى الله عليه وسلمގެ ސުންނަތުން ފެންނާންހުރި އިރުޝާދުތަކާއި ޢިބްރަތްތެރި ޙާދިސާތަކުގައި، މުޖްތަމަޢުގެ ޚާއްޞަ އެހީތެރިކަމަކަށް ބޭނުންވެފައިވާ ކޮންމެ މީހަކާމެދު އޯގާތެރިކަން އިސްކޮށް އިޙްސާންތެރިކަމާއެކު ކަންކަން ކޮށްދިނުމުގެ މުހިންމުކަން ހާމަވާކަމަށް، ރައީސުލްޖުމްހޫރިއްޔާ ޑރ. މުޙައްމަދު މުޢިއްޒު ވިދާޅުވެއްޖެއެވެ.
ރައީސް މިފަދައިން ވިދާޅުވެފައިވަނީ، ބައިނަލްއަޤްވާމީ ގޮތުން ފާހަގަކުރާ ޑައުން ސިންޑްރޯމް ދުވަހުގެ މުނާސަބަތުގައި މީސްމީޑިއާގައި ކުރެއްވި ޕޯސްޓެއްގައެވެ.

Ad by Hajj Corporation
ރައީސްގެ ޕޯސްޓުގައި ވަނީ، މުސްލިމަކަށް ވީތީ އަޅުގަނޑުމެންނަށް ކުރެވޭނެ އެންމެ ބޮޑު އެއް ހެޔޮކަމަކީ އަދި ދޫކުރެވޭނެ ދެމިހުންނަނިވި އެއް ޞަދަޤާތަކީ މުހުތާދުތަކުގައި ޖެހިފައިވާ ކޮންމެ އަޚަކާއި އުޚްތަކަށް އަޅާލުންކަމަށް ވިދާޅުވެ، ދިވެހި މުޖްތަމަޢުގައި، ޑައުން ސިންޑްރޯމްގެ އެކި ޙާލަތު ތަޙައްމަލު ކުރަމުންދާ ކޮންމެ ކުއްޖަކާއި މީހަކަށް ހެޔޮކޮށް ހިތުމަކީ މުސްލިމަކަށްވީތީ އަދި އިންސާނަކަށްވީތީ އަޅުގަނޑުމެން އުފުލަންޖެހޭ މަސްއޫލިއްޔަތެއްކަން ހަނދައިންކޮށްދެއްވާފައެވެ.
މިއަހަރުގެ ދުނިޔޭގެ ޑައުން ސިންޑްރޯމް ދުވަހުގެ ޝިޢާރުން ލިބިދޭ މެސެޖަކީވެސް އެފަދަ އެއްވެސް ފަރާތެއް މުޖްތަމަޢުން ބާކީވެ އެކަހެރިވިޔަ ނުދިނުން ކަމަށް ވިދާޅުވެ، މި ސަރުކާރުން އިސްނަގައިގެން މިދިޔަ 28 މަސްދުވަހުގެ ތެރޭގައި މި އަމާޒަށް ވާސިލުވުމަށް ގިނަ މަސައްކަތްތަކެއް ކުރެވިފައިވާނެ ކަމަށް ރައީސް ވިދާޅުވިއެވެ. އަދި ކުރިއަށް އޮތް ތަނުގައިވެސް، އެންމެންނަށް ފުރުޞަތު އޮތް، އޯގާތެރި، ޝާމިލް މުޖްތަމަޢެއް ބިނާކުރުމަކީ ސަރުކާރުން އެންމެ އިސްކަންދޭ އެއް ސިޔާސަތަށް ވާނެ ކަމުގެ ފުރިހަމަ ޔަގީންކަން، ރައީސްގެ ޕޯސްޓުގައި ދެއްވާފައި ވެއެވެ.
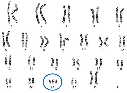
ޑައުން ސިންޑްރޯމް އަކީ، އިންސާނާގެ ހަށިގަނޑު އުފެދިގެން އަންނައިރު ޖެނެޓިކްސް ނުވަތަ ދަރިފަސްކޮޅުގެ މައުލޫމާތު ރައްކާކުރާ މާއްދާއަށް އަންނަ ބަދަލަކުން ދިމާވާ ކަމެކެވެ. އާންމުކޮށް އިންސާނެއްގެ ހަށިގަނޑުގެ ކޮންމެ ސެލްއެއްގައި 46 ކްރޮމޯޒޯމް (23 ޖޯޑު) ހުރެއެވެ. ނަމަވެސް ޑައުން ސިންޑްރޯމް ހުންނަ ކުދިންގެ ހަށިގަނޑުގައި އިތުރު ކްރޮމޯޒޯމެއް ހުރެއެވެ. ގިނަ ފަހަރަށް މިކަން ދިމާވަނީ 21 ވަނަ ކްރޮމޯޒޯމް އިންނެވެ. އާންމު މީހެއްގެ ހަށިގަނޑުގައި މި ޖޯޑުގައި ހުންނާނީ 2 ކްރޮމޯޒޯމެވެ. އެކަމަކު ޑައުން ސިންޑްރޯމް ހުންނަ ކުދިންގެ މި ޖޯޑުގައި 3 ކްރޮމޯޒޯމް ހުރެއެވެ. އެއްގޮތަކަށްވެސް މިއީ މައިންބަފައިން ކުރާ ކަމަކުން ނުވަތަ ނުކޮށް ދޫކޮށްލާ ކަމަކުން ދިމާވާ ކަމެއް ނޫންކަމަށް ސައިންސްވެރިން ބުނެއެވެ.

ކޮންމެ އަހަރެއްގެވެސް މާރިޗު މަހުގެ 21 ވަނަ ދުވަސް ފާހަގަކުރަނީ ދުނިޔޭގެ ޑައުން ސިންޑްރޯމް ދުވަހުގެ ގޮތުގައެވެ. އދ. އިން ޑައުން ސިންޑްރޯމް ދުވަހުގެ ގޮތުގައި މިދުވަސް ފާހަގަކުރުމަށް އިޚްތިޔާރުކޮށްފައިވަނީ، ޑައުން ސިންޑްރޯމް ހުންނަ މީހުންގެ ހަށިގަނޑުގައި 21 ވަނަ ކްރޮމޯޒޯމްގެ 3 ކޮޕީ ހުންނާތީއެވެ.


